BNCT(ホウ素中性子捕捉療法)の提案
10Bと熱中性子の核反応~中性子捕獲反応~で放出される4He原子核(α粒子)と7Li原子核によってがん細胞を破壊するアイデアは、中性子発見の4年後の1936年に米国の物理学者Locherによって出されました。熱中性子は様々な原子核によって捕獲されますが、ホウ素原子核による捕獲の確率[捕獲断面積:barnで示される (1 barn =10-24 cm2)]は窒素(14N)の断面積の約2000倍と、生体を構成する諸元素の中で最大の窒素に比べても桁違いに大きく、さらに放出される2つの粒子はいずれも飛程がごく短く、一般的な細胞の径を超えません。これらのことから、がんの細胞や組織に選択性良く、かつ十分な濃度で集積するホウ素化合物があれば、これを投与した後に中性子を照射することによって、がんの細胞や組織を選択的に破壊することが可能になります。ただ、この反応の確率は窒素との反応の2000倍近いとはいえ、生体中の単位体積あたりの窒素含有量は非常に多いので、数十ppm のレベルでホウ素が集積する必要があります。なお、深部腫瘍の治療に際しては、身体内で熱中性子に変わるややエネルギーの高い熱外中性子(0.6~40keV)が用いられています。

異次元のがん選択的放射線療法
最近の高精度放射線治療には、“がん選択的放射線療法”、“ピンポイント照射”などとうたわれているものがあり、いかにも放射線はがんにのみ照射され、正常組織の被曝がないかのような錯覚を与えていますが、これは全く正しくありません。ブラッグピークが利用できる陽子線治療や炭素線治療では図に示すように、粒子ががんに達するまでに周囲の正常組織に相当の線量を与えてしまいます。まして、がんの周辺や内部の正常組織(細胞)へはがんと同じ線量が照射されます。
一方、細胞選択的照射が可能なBNCTでは全く事情が異なります。CTやMRIの画像で捉え得るGTV(Gross tumor volume:肉眼的腫瘍体積)内の正常細胞すら、がん細胞とは全く異なった線量を受けることになります。これを、DVH(Dose volume histograms:線量-体積ヒストグラム)で示す(図)と、その違いは明瞭で、正常組織線量とがん(細胞)線量の曲線に全く重なりがありません。DVHの曲線が完全に乖離する治療はBNCTを除いて存在しません。BNCTは真の意味でピンポイント照射であり、がん(細胞)選択的照射なのです。
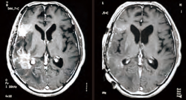
悪性脳腫瘍、特に悪性神経膠腫はBNCT 臨床研究で期待の大きい対象です。BNCTでは一度に大線量の照射が可能なため、X線治療では経験できない早期(2日程度)に劇的な腫瘍の反応(MRI画像の造影病巣の縮退・消失)が散見されます(図:大阪医大症例)。
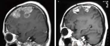
上記以外の脳腫瘍では、X線治療に抵抗性の悪性髄膜腫でも縮退を得、その効果には
括目すべきものがあります(図:大阪医科大学症例)。
頭頸部がんは手術、X 線治療、抗がん化学療法の併用療法が標準治療として行われ、再発時、特にX 線の再治療が正常組織の耐容線量との関係で行えない状況を克服する手法としてBNCT への期待は大きくなります。世界最初の頭頸部がんのBNCT は再発耳下腺がんで、(上図:大阪大学症例)2 回に分割してBNCT を行った結果、がんは完全に縮退、皮膚反応は乾性落屑にも至りませんでした。薄く緊満した皮膚を避け、直下のがんに対する制御線量の照射は他の手法では不可能で、BNCT の持つ高いがん選択性、優位性が示されました。BNCT後の手術例では、病理組織検査でがんの完全消失が確認される一方で、中性子照射野内には破壊を免れた耳下腺や脂肪細胞がしっかりと残っていることが確認された(下図:川崎医科大学症例)。BNCTの持つ選択的効果を顕微鏡レベルでも証明した例である。
悪性胸膜中皮腫はがんが肋膜に沿って広がるため、複雑な三次元形状を呈します。そのため、現在の高精度放射線治療技術をもってしても、がんに覆われた肺を避けつつのがんへの制御線量の照射は不可能で、BNCTのようながん選択性の高い治療手法に期待がかかります(図:京都大学原子炉実験所症例)。
皮膚悪性黒色腫にはホウ素の高集積が確認されています。病変が小さい場合は、外科的切除で十分に対応できますが、切除範囲が大きい場合や、QOLの低下をきたす部位では、BNCTは有用です。
上述した疾患の他、肺がん、肝臓がん、乳がん、肉腫などに対する治療研究も始まっています。
(大阪府政策企画部ホームページ「BNCT研究会」パンフレットを参考に作成しました。オリジナルは、http://www.pref.osaka.lg.jp/kikaku/bnct/)